
사랑니 발치 중요성
사랑니는 우리 입안에서 가장 마지막에 나오는 어금니로, 일반적으로 17세에서 25세 사이에 자라납니다. 하지만 사랑니는 잇몸 속에서 완전히 나오지 못하거나, 비스듬하게 자라나는 경우가 매우 흔합니다. 이런 이상적인 위치에서 벗어난 사랑니는 주변 치아에 지속적으로 압력을 가해 통증과 치열 변형을 유발할 뿐만 아니라, 음식물 찌꺼기와 세균이 쌓이기 쉬워 충치와 잇몸 염증의 주요 원인이 됩니다. 이 때문에 사랑니가 정상적으로 자리잡지 못하거나 통증, 염증 등의 증상을 일으킬 때는 조기에 발치하는 것이 매우 중요합니다.
첫 번째로, 사랑니가 부분적으로만 잇몸 밖으로 나오거나 비스듬하게 자라면 그 부위에 음식물이 쉽게 끼고 세균이 번식하기 좋은 환경이 조성됩니다. 이로 인해 잇몸 주위에 염증이 생기거나 농양이 발생하며, 구취(입냄새)도 심해질 수 있습니다. 이런 감염이 악화되면 사랑니뿐 아니라 주변 치아와 잇몸 조직에도 손상을 입힐 수 있어 조기 치료와 발치가 필요합니다.
두 번째로, 사랑니가 자라면서 주변 치아를 밀어내면 전체 치열이 어긋나거나 틀어지는 경우가 많습니다. 특히 이미 치아가 빽빽하게 배열된 경우 사랑니가 자라면서 치아들이 밀려나 공간이 부족해지기 때문에, 교정 치료에도 부정적인 영향을 미칩니다. 결국 전체 치아 건강과 기능 유지에 장애가 되므로 이를 예방하기 위해서라도 적절한 시기에 사랑니 발치를 결정하는 것이 좋습니다.
세 번째로, 사랑니 발치를 미루면 잇몸 염증이 만성화되거나 낭종, 종양과 같은 드문 합병증이 발생할 위험도 있습니다. 이러한 합병증은 수술을 더욱 복잡하게 만들고 회복 기간을 길게 할 뿐만 아니라, 전신 건강에도 부정적인 영향을 줄 수 있습니다. 따라서 증상이 없더라도 정기 검진을 통해 사랑니 상태를 점검하고 필요시 미리 발치하는 것이 환자의 신체적, 경제적 부담을 줄이는 데 효과적입니다.
마지막으로, 사랑니 발치는 다른 일반적인 치과 치료보다 통증과 회복 기간이 다소 길 수 있습니다. 하지만 적절한 시기와 방법으로 발치하고 사후 관리를 철저히 한다면, 심각한 합병증을 예방하며 장기적인 구강 건강을 유지할 수 있습니다. 그러므로 정기적인 치과 방문과 상담을 통해 사랑니 상태를 꾸준히 확인하는 것이 무엇보다 중요합니다.
사랑니 관리법
사랑니는 입안 가장 깊숙한 곳, 어금니 뒤편에 위치하여 일반 치아보다 칫솔질과 구강 청결 유지가 매우 까다롭습니다. 특히 사랑니가 비스듬히 나거나 일부만 잇몸 밖으로 나온 경우, 치아와 잇몸 사이에 음식물이 쉽게 끼고 세균 증식이 활발해져 염증이 자주 발생합니다. 이런 부위는 일반 칫솔질만으로는 청결 유지가 어려우므로, 치실이나 치간 칫솔, 구강 세정기 같은 보조 도구를 적극적으로 사용하는 것이 권장됩니다. 이들 도구는 치아 사이와 사랑니 주변 플라그 제거에 효과적이며, 염증과 충치 예방에 크게 도움을 줍니다.
또한, 사랑니 주변 잇몸이 붓거나 통증이 느껴질 때는 무작정 자가 치료를 시도하지 말고 반드시 치과 전문의에게 진료를 받아야 합니다. 자가 치료는 염증을 악화시켜 감염 확산이나 농양 형성 등의 위험을 높일 수 있기 때문입니다. 조기 진단과 치료를 통해 증상을 완화하고, 필요하다면 발치 여부를 결정하는 것이 가장 안전한 방법입니다.
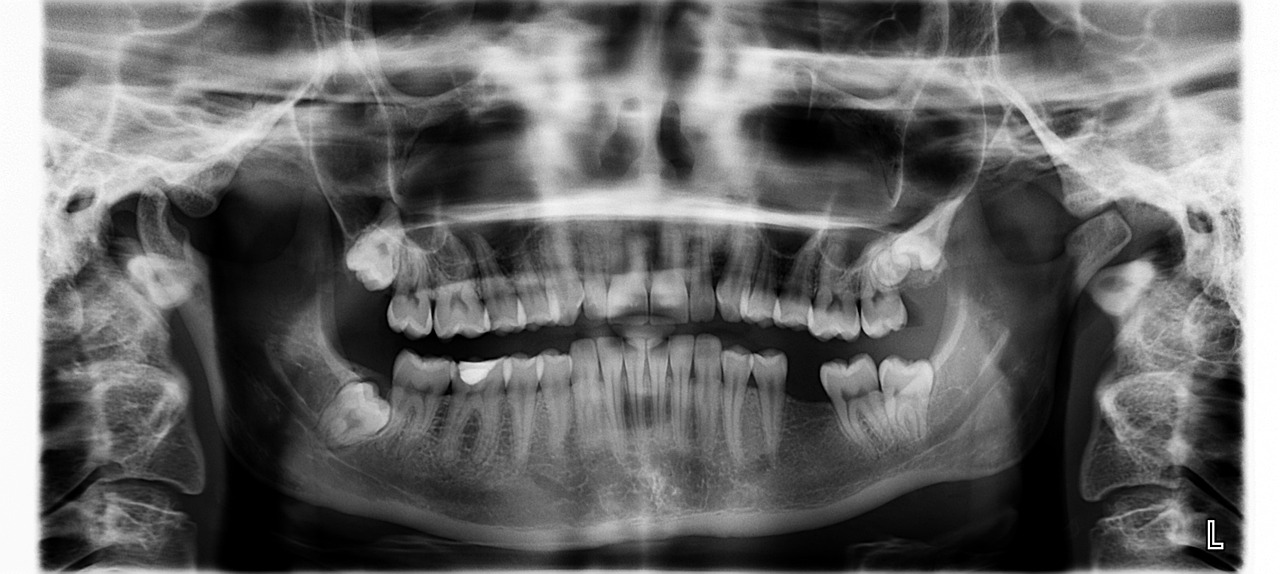
더불어, 사랑니가 주변 치아에 가하는 압력으로 인해 치열이 불균형해지고 통증을 동반하는 경우가 많습니다. 정기적인 치과 엑스레이 검사를 통해 사랑니의 성장 방향과 위치를 확인하며, 필요에 따라 조기에 발치를 권유받을 수 있습니다. 미루는 경우 감염 위험이 커지고, 인접 치아가 손상될 수 있으므로 적극적인 관리가 요구됩니다.
사랑니 발치 후 주의사항
사랑니 발치 후에는 상처 부위가 원활히 치유될 수 있도록 세심한 관리가 반드시 필요합니다. 발치 직후 30분에서 1시간 정도는 치과에서 준 거즈를 꽉 물고 압박하여 출혈을 멈추는 것이 중요합니다. 이때 거즈를 너무 자주 교체하거나 빨리 빼면 혈병(혈전)이 떨어져 출혈이 다시 발생할 수 있으므로, 한 번에 충분히 압박하는 것이 혈액 응고에 도움이 됩니다.
또한, 발치 후 첫 24시간 동안은 입안을 세게 헹구거나 빨대를 사용하지 않아야 합니다. 혈병이 상처에서 떨어져 나가는 ‘건성 소켓’ 상태가 발생하면 심한 통증과 염증이 생길 수 있습니다. 아울러 흡연과 음주는 상처 치유를 지연시키고 감염 위험을 높이므로 적어도 일주일간 금하는 것이 좋습니다.
통증과 붓기는 자연스러운 회복 과정의 일부이며, 의사가 처방한 진통제 복용과 얼음찜질을 통해 증상을 완화할 수 있습니다. 그러나 며칠이 지나도 통증이나 부기가 심하거나 발열, 농양 등 감염 증상이 나타나면 즉시 병원을 방문해 추가 치료를 받아야 합니다.
마지막으로, 발치 후 24시간이 지난 뒤부터는 따뜻한 소금물로 부드럽게 가글하여 구강 내 세균을 줄이고 염증을 예방하는 것이 좋습니다. 단, 너무 강한 가글이나 과도한 헹굼은 상처 부위를 자극할 수 있으니 주의해야 하며, 음식 섭취 시에도 발치 부위에 자극이 가지 않도록 조심해야 합니다.
글을 마치며
사랑니는 누구나 경험할 수 있는 치아지만, 그 특성상 제대로 자라지 못하거나 방향이 비정상적으로 나오는 경우가 많아 각별한 관리와 주의가 필요합니다. 사랑니가 잇몸 속에 묻히거나 부분적으로만 나온 경우에는 음식물 찌꺼기와 세균이 쉽게 쌓여 염증과 감염을 유발할 위험이 매우 높습니다. 이런 문제들은 단순한 통증을 넘어 주변 치아 건강까지 악화시켜 치열 변형, 충치, 잇몸 질환 등의 심각한 구강 건강 문제로 이어질 수 있습니다.
따라서 정기적인 치과 검진을 통해 사랑니의 성장 상태와 위치를 꾸준히 확인하고, 통증이나 염증 같은 증상이 발생하면 즉시 전문가와 상담하는 것이 중요합니다. 특히 사랑니 발치가 필요한 경우에는 적절한 시기에 미루지 말고 시행하는 것이 장기적으로 구강 건강을 지키는 최선의 방법입니다.
발치 후에는 상처 관리와 회복을 위한 주의사항을 철저히 준수해야 하며, 이를 통해 출혈, 감염, 통증 같은 부작용을 최소화할 수 있습니다. 사랑니는 무시하거나 방치할 경우 심각한 합병증을 유발할 수 있으므로, 적극적인 관심과 관리가 반드시 필요합니다.
결국, 사랑니 관리의 핵심은 예방과 조기 치료에 있으며, 정기 검진과 전문의 상담을 통해 적절한 시기를 놓치지 않는 것이 건강한 구강 상태를 유지하는 가장 효과적인 방법임을 잊지 말아야 합니다.